Invisalign
Our dental clinic is the only Platinum Invisalign Provider in
the central Sarawak region.
WHAT IS INVISALIGN
Crafting a Perfect Smile with Invisible Braces
Invisalign is a modern orthodontic treatment that uses clear aligners for teeth straightening and bite correction. By combining these custom-made and removable dental aligners with the 3D Smile Architect Feature™, we can align your teeth into a perfect grin that you’ve always desired.
THE SOLUTION FOR YOUR DENTAL CONCERNS

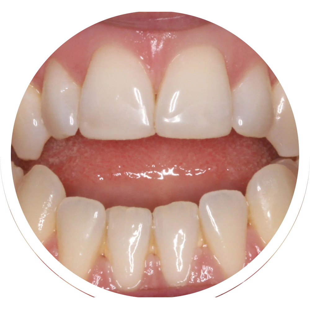
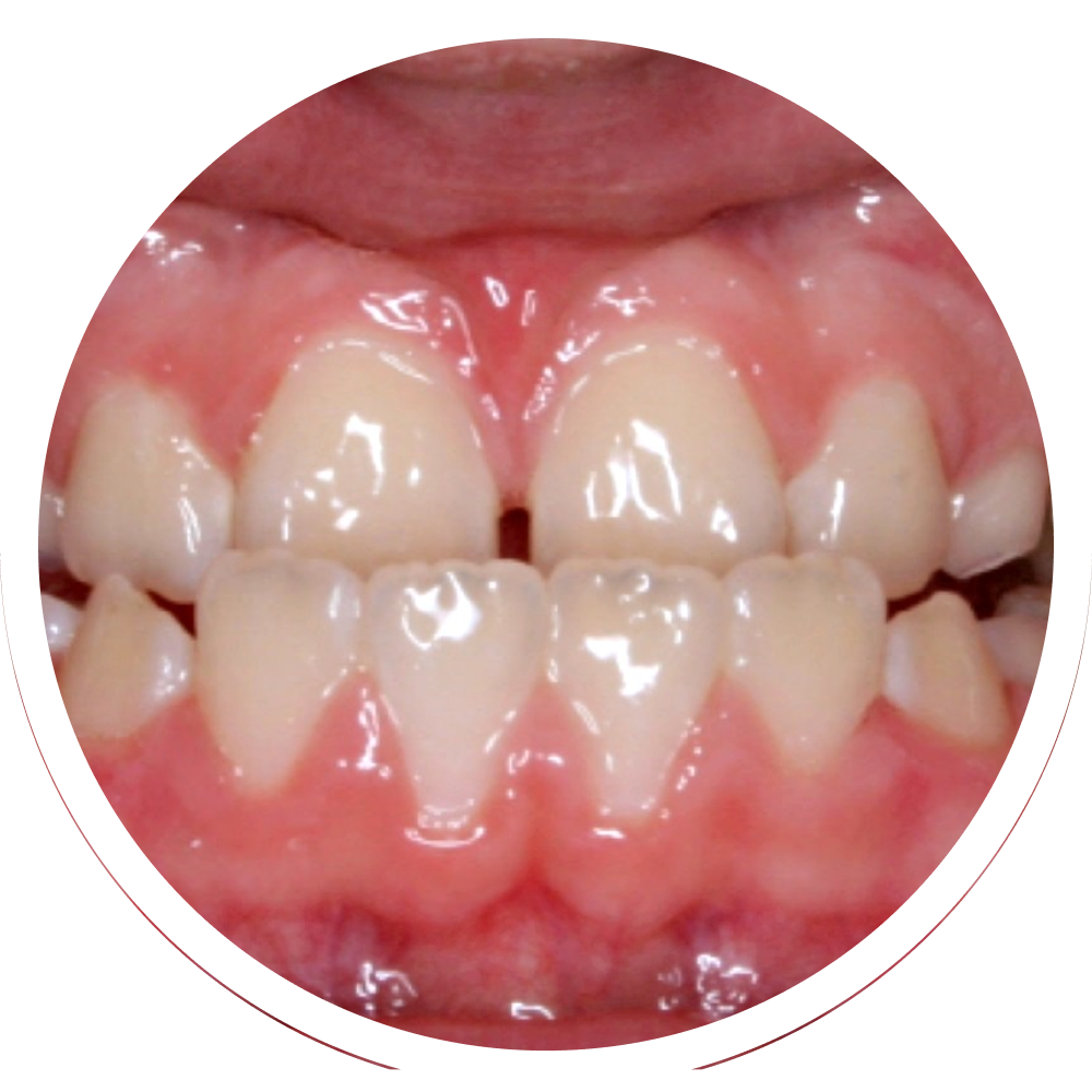
Crooked teeth

Crossbite

Overbite

Gaps in teeth

Crowded teeth

Open bite

Hidden teeth

Underbite

Gummy Smile
PERSONALISED TO YOUR FACIAL AESTHETIC
Our Invisalign Treatment Uses The Smile Architect Feature™
Visualise your customised smile
By measuring the proportion of your face concerning your eyes, facial midline and lips, we can create a smile that best fits your overall appearance.
Engaging customer experience
Unlike traditional methods, we can show you a virtual process from start to finish, allowing you to understand the step-by-step journey to your new smile.

3 Steps to Your New Smile
Submit Your Virtual Consultation
WHAT PEOPLE ARE SAYING
Brace Yourself for A Grin
Invisalign vs. Braces
What are differences between these teeth straightening options? Here are some Invisalign benefits.
01
No dietary restrictions
You'll still be able to drink and eateverything you enjoy without any limitations or worry about food sticking in wires and brackets.
02
Removable aligners
Invisalign aligners are made with SmartTrack flexible material, making it super easy to remove and put on, unlike braces which are fixed. Now, you can enjoy your favorite food any time you want.
03
Less dental visits
Unlike braces where you have to visit your doctor every 3-4 weeks, Invisalign frees up your schedule with visits to the clinic only once every 6-8 weeks.
04
Custom made smile
You will have a bespoke treatment plan that caters to your main concern and specifically just for you.
05
Lesser pain
SmartStage and SmartForce technologies ensure there will only be gradual and gentle yet effective teeth movement throughout your treatment, as compared to braces which may irritate and cause pain.
Frequently Asked Questions
Here are some of the questions that most of our patients asked.
How long does the Invisalign treatment take?
It depends on the complexity of your case, you could complete your treatment in as little as 6 months.
Can I eat and drink with Invisalign?
Yes, because your aligners are easily removable it means that you are not in any way restricted from enjoying all the foods that you love - just simply take your aligners out and keep them in your alignercase. We recommend that you don't drink while wearing the aligners. This is to avoid cavities and stains forming on your teeth, or warping your aligners with hotbeverages.
How often should I wear my Invisalign?
You should wear each aligner for 20 to 22 hours a day during your treatment for best results and a timely outcome.
Are there any restrictions on activities while wearing Invisalign?
Yes, there are some restrictions and guidelines for activities while wearing Invisalign aligners. If you're participating in contact sports or activities that involve physical contact, it's recommended to remove your aligners to protect them and your mouth.
More treatments